Erhöhung der Lebensqualität durch Zahnersatz bzw. Implantat

Ist ein Zahn verloren gegangen, so ist es wichtig, ihn wieder zu ersetzen, da sonst das Kauorgan in seiner Funktion gestört wird. Abgesehen von der ästhetischen Beeinträchtigung gilt es, Schäden durch Zahnwanderungen, Kippungen und Fehlbelastungen mittels Implantat vorzubeugen. Wir bieten Ihnen Zahnersatz in jeder Form an. Funktionell ausreichend bieten die Krankenkassen die sogenannte „Zahnersatz-Regelversorgung“ an, die Sie auf Wunsch immer mit ästhetisch höherwertigen Materialien „aufstocken“ können.

Behandlungsablauf

Nach erfolgter Vorbehandlung (Füllungen, ggfs. Parodontosebehandlung) werden diagnostische Unterlagen erstellt, und die verschiedenen in Frage kommenden Zahnersatz-Möglichkeiten werden in einem ausführlichen Beratungsgespräch mit Ihnen erörtert. Danach können Sie sich in Ruhe für eine Variante entscheiden.

Immer mehr Menschen wünschen sich einen sicher auf Implantaten verankerten Ersatz. Dies ist zwar mit einem chirurgischen Eingriff verbunden, erhöht aber die Lebensqualität ganz entscheident. Das Implantat wird sich für Sie ganz wie ein eigener Zahn anfühlen und Ihnen ein fröhliches Lachen zurückgeben!

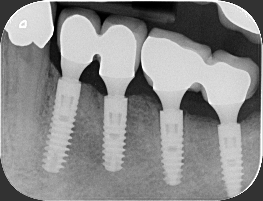
Zahnarztpraxis Heise, Röntgenbild einer Implantat-Versorgung
Röntgenbild einer Implantat-Versorgung
Schematischer Vergleich: natürlicher Aufbau und Implantat-Versorgung
Schematischer Vergleich: natürlicher Aufbau und Implantat-Versorgung

Kosten

Zu Kosten und Behandlungsablauf bei konventionellem Zahnersatz und bei Implantaten beraten wir Sie gern.